Fizjologia

Biodostępność
Fizjologia

Biodostępność

Biodostępność (dostępność biologiczna) to ilość spożytej substancji odżywczej, która została wchłonięta oraz bierze udział w przemianach metabolicznych organizmu. Biodostępność jest […]

Inhibitor kompetycyjny
Fizjologia

Inhibitor

Inhibitor to substancja chemiczna, która powoduje zwolnienie lub zatrzymanie reakcji chemicznej, dlatego proces ten zwie się inhibicją. W biologii i

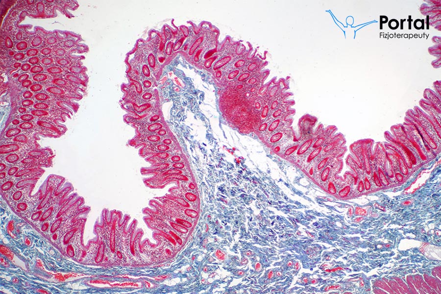
Zonulina - przepuszczalność jelita
Fizjologia

Zonulina

Zonulina jest białkiem biorącym udział w regulacji przepuszczalności ścisłych połączeń pomiędzy komórkami ściany jelit. Odpowiada zatem za przeznabłonkowy transport substancji

Skurcz koncentryczny
Fizjologia

Skurcz koncentryczny

Skurcz koncentryczny jest jednym z rodzajów skurczu izotonicznego mięśni. Pełni niezwykle ważną rolę w codziennym funkcjonowaniu oraz podczas wykonywania treningów

Glukoneogeneza
Fizjologia

Glukoneogeneza

Glukoneogeneza to inaczej szereg procesów mających na celu wytworzenie glukozy z niskowęglowodanowych prekursorów. Fizjologicznie aminokwasy wykorzystywane są głównie do syntezy

Łańcuch oddechowy (łańcuch transportu elektronów)
Fizjologia

Łańcuch oddechowy

Łańcuch oddechowy (nazywany również jako łańcuch transportu elektronów) to zespół związków chemicznych uszeregowanych według wzrastających potencjałów oksyredukcyjnych. Innymi słowy, stanowi

Keratyna - struktura molekularna
Fizjologia

Keratyna

Keratyna to włókienkowe białko o zwartej strukturze, którą stabilnie utrzymują mostki S-S cystyny. Poza tym budują ją inne aminokwasy, głównie

Odruch kolanowy
Fizjologia

Odruch kolanowy

Odruch kolanowy to naturalna reakcja organizmu na rozciąganie, zaliczana do reakcji obronnych organizmu. Lekkie uderzenie w więzadło podrzepkowe powoduje gwałtowne

Kontynencja
Fizjologia

Kontynencja

Kontynencja to inaczej zdolność organizmu do dobrowolnego zatrzymywania moczu, stolca i gazów. Może ulec zaburzeniom wskutek obrażeń ciała, porażenia mięśni

Bradykinina
Fizjologia

Bradykinina

Bradykinina to peptyd zbudowany z 9 reszt aminokwasowych. Jest jednocześnie hormonem tkankowym z rodziny kinin. Pełni w organizmie człowieka bardzo

Scroll to Top