Ortopedia

Zrost opóźniony
Ortopedia

Zrost opóźniony

Zrost opóźniony to rodzaj zaburzeń zrostu kości, polegający na zbyt późnym kostnieniu tkanki kostnej i opóźnionym tworzeniu się stabilnego połączenia

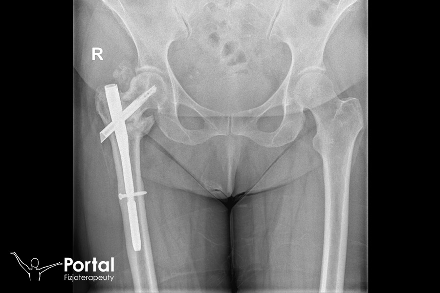
Gwóźdź śródszpikowy
Ortopedia

Gwóźdź śródszpikowy

Gwóźdź śródszpikowy to sterylny przedmiot wykorzystywany w chirurgii ortopedycznej do wewnątrzustrojowej stabilizacji odłamów, które powstały wskutek złamania kości. Jest wykonany

Gips wiszący Caldwella
Ortopedia

Gips wiszący Caldwella

Gips wiszący Caldwella wciąż znajduje zastosowanie w ortopedii i rehabilitacji, szczególnie do stabilizacji złamań kości ramiennej. Warto wiedzieć, że po

Implant
Ortopedia

Implant

Implant (zwany również wszczepem) jest ciałem obcym umieszczanym w organizmie w celu odtworzenia naturalnej funkcji lub estetyki uszkodzonego organu. Najczęściej

Ortopedia
Ortopedia

Ortopedia

Ortopedia to dział medycyny zajmujący się rozpoznawaniem i leczeniem wad oraz urazów układu kostno-stawowo-mięśniowego. Obejmuje również zapobieganie wystąpieniu patologii tego

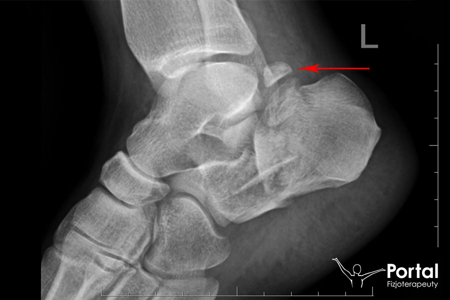
Sztywność stawów
Ortopedia

Sztywność stawów

Sztywność stawów jest częstą dolegliwością występującą u osób w podeszłym wieku, może jednak dotyczyć różnych osób – bez względu na

Lateralizacja rzepki (boczne przyparcie rzepki)
Ortopedia

Lateralizacja rzepki

Lateralizacja rzepki (tak zwane boczne przyparcie rzepki) oznacza jej nadmierne przyparcie do kłykcia bocznego kości udowej. W efekcie, podczas ruchów

Scroll to Top