Ból odcinka lędźwiowego
Ból odcinka lędźwiowego to jedna z najczęstszych przewlekłych dolegliwości bólowych ze strony narządu ruchu. Dotyczy głównie osób po 40. roku […]
Ból odcinka lędźwiowego to jedna z najczęstszych przewlekłych dolegliwości bólowych ze strony narządu ruchu. Dotyczy głównie osób po 40. roku […]
Ankyloza (gr. agkýlos – zakrzywiony, wygięty) to schorzenie układu kostno-stawowego i układu mięśniowego, którego konsekwencją jest unieruchomienie i następcze zesztywnienie
Przepuklina kręgosłupa potocznie nazywana jest wypadnięciem dysku, choć wiele osób nie zdaje sobie sprawy, czym w rzeczywistości jest dysk i
Hipermobilność należy do spektrum zaburzeń, które dotyka od około 20% populacji na świecie. Oznacza to, że jest bardziej powszechna niż
Mrowienie to objaw najczęściej wskazujący na problemy związane z krążeniem lub czynnością układu nerwowego. Powtarzające się lub intensywne, które nie
Mrowienie i drętwienie kończyn to dolegliwość, która może mieć wiele przyczyn. Zarówno niegroźnych i odwracalnych, jak i tych przewlekłych, których
Opadająca powieka może wskazywać na rozmaite problemy zdrowotne (często o podłożu neurologicznym), jak również może być elementem urody danej osoby.
Brzuch stresowy jest charakterystycznym w dzisiejszych czasach zjawiskiem. Stanowi typ otyłości brzusznej, związanej ze wzrostem poziomu kortyzolu (hormonu stresu) w
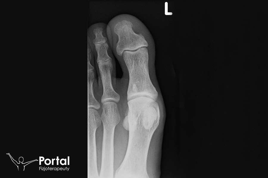
Ból podeszwy przy chodzeniu nie jest tak rzadkim problemem, jak mogłoby się wydawać. Choć zdecydowanie największy odsetek problemów w obrębie
Zaburzenia osobowości to szeroka grupa różnych schorzeń psychicznych, które wpływają m.in. na zachowanie człowieka i jego odnajdywanie się w społeczeństwie.