Prostatektomia
Prostatektomia radykalna to standardowe postępowanie chirurgicznym w leczeniu nowotworu gruczołu krokowego ograniczonego wyłącznie do tego narządu. W zależności od wskazań, […]
Prostatektomia radykalna to standardowe postępowanie chirurgicznym w leczeniu nowotworu gruczołu krokowego ograniczonego wyłącznie do tego narządu. W zależności od wskazań, […]
Laparotomia to zabieg diagnostyczno-terapeutyczny o dużym zastosowaniu w praktyce. Polega na rozcięciu powłok skórnych i przedostaniu się do jam ciała,
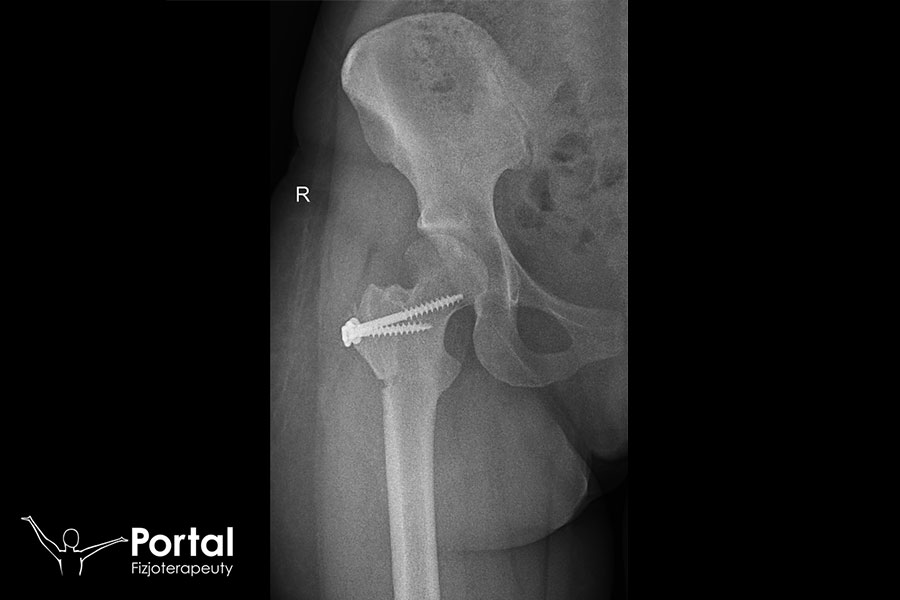
Alloplastyka stawu biodrowego (inna nazwa: endoprotezoplastyka stawu biodrowego) to zabieg często wykonywany w chirurgii ortopedycznej. Ma na celu usunięcie zniszczonych
Operacja wyrostka robaczkowego (fachowa nazwa to appendektomia) jest w dzisiejszych czasach wciąż bardzo często wykonywanym zabiegiem. Odbywa się w znieczuleniu
Osteoplastyka to zabieg chirurgiczny wykonywany często zarówno w ortopedii, jak i w stomatologii. Jego podstawowym celem jest zmiana anatomicznego kształtu
Rotablacja to powszechnie wykonywany zabieg kardiochirurgiczny, polegający na przewiercaniu się przez patologicznie zwężone naczynia wieńcowe. Najczęściej wykonuje się go u
Ablacja RF to zabieg kardiologiczny wykonywany celem leczenia zaburzeń rytmu serca, wykorzystujący fale o częstotliwości radiowej. Polega na wprowadzeniu przez
Przepuklina pachwinowa to patologiczne uwypuklenie w okolicach pachwiny, mające wygląd miękkiego guza. Dolegliwość może być wrodzona lub nabyta, przy czym
Laminektomia to poszerzenie kanału kręgowego polegające na całkowitym usunięciu łuków kręgów. Operacja umożliwia uwidocznienie sporej części worka oponowego i sprawny
Znieczulenie ogólne to inaczej wywołana przez anestetyk dożylny lub lotny odwracalna depresja ośrodkowego układu nerwowego, cechująca się utratą percepcji oraz