Chirurgia

Histerektomia
Chirurgia

Histerektomia

Histerektomia to jedna z najczęściej wykonywanych operacji ginekologicznych. Wskazania do jej przeprowadzenia na ogół oscylują wokół poprawy jakości życia, a […]

Odbudowa kości
Chirurgia

Odbudowa kości

Odbudowa kości to rosnący na popularności zabieg chirurgiczny, który może być wykonywany zarówno w stomatologii (w odniesieniu do kości wyrostka

Chirurgia

Przeszczep autogeniczny

Przeszczep autogeniczny (inaczej: autotransplantacja) to jedna z metod przeszczepienia narządów lub tkanek, wykonywanych w transplantologii. Odnosi się do przeszczepiania własnych

Przeszczep allogeniczny
Chirurgia

Przeszczep allogeniczny

Przeszczep allogeniczny to rodzaj transplantacji, w której dawcą jest osoba spokrewniona lub niespokrewniona z pacjentem. Dawca może genetycznie różnić się

Keratoplastyka
Chirurgia

Keratoplastyka

Keratoplastyka to zabieg przeszczepienia rogówki, którego początki przypadają na koniec VIII wieku. Szacuje się, że na świecie żyje około 40

Policyzacja palca
Chirurgia

Policyzacja palca

Policyzacja palca to chirurgiczna metoda leczenia wrodzonych wad w obrębie rąk. Polega na przeszczepieniu palca (pobranego ze stopy lub dłoni)

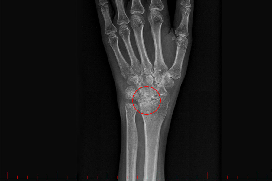
Choroba zwyrodnieniowa (nadgarstek)
Chirurgia

Artrodeza

Artrodeza (inaczej: usztywnienie stawu) to metoda chirurgicznego leczenia zaawansowanej choroby zwyrodnieniowej stawów. Trwale znosi ruchomość w operowanym stawie, jednak dzięki

Stent
Chirurgia

Stent

Stent to implant medyczny wykorzystywany do utrzymywania średnicy poszerzanych naczyń krwionośnych lub narządów o charakterze rurkowym. Zwykle wykonany jest z

Przeszczep serca
Chirurgia

Przeszczep serca

Przeszczep serca to metoda leczenia kardiochirurgicznego, polegająca na całkowitej wymianie serca chorego na serce zdrowe, co odbywa się w znieczuleniu

Transplantologia
Chirurgia

Transplantologia

Transplantologia to dział medycyny zajmujący się przeszczepianiem narządów wewnętrznych, np. serca, płuc czy nerki. Bardzo często przeszczep narządu jest jedyną

Scroll to Top