RTG pomiarowe kończyn dolnych
RTG pomiarowe kończyn dolnych to metoda badania radiologicznego, uwidoczniająca całą długość kończyn dolnych od kości miednicznych, aż do kości palców […]
RTG pomiarowe kończyn dolnych to metoda badania radiologicznego, uwidoczniająca całą długość kończyn dolnych od kości miednicznych, aż do kości palców […]
Test Rissera pozwala ocenić wiek kostny kręgosłupa pacjenta, co ma kluczowe znaczenie w diagnostyce i planowaniu leczenia m.in. skolioz, będących
Pozytonowa tomografia emisyjna (PET) to innowacyjna technika obrazowania w medycynie, polegająca na wykorzystaniu skanera PET, który bez użycia zewnętrznego źródła
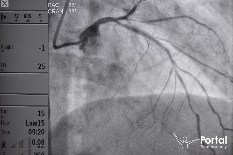
Angiografia to badanie polegające na uwidocznieniu obrazu naczyń krwionośnych przy pomocy wybranego promieniowania. Najczęściej jest to promieniowanie rentgenowskie, jednak równie
Rodzaje kontrastów w rezonansie magnetycznym mają spore znaczenie dla wyników badania. Dobiera się je w zależności od zastosowanej techniki radiologicznej
USG piersi jest badaniem wykonywanym w przypadku diagnostyki raka piersi. Pozwala na coraz dokładniejsze uwidacznianie zmian ogniskowych w piersiach i
RTG to badanie techniką obrazowania, która wykorzystuje promieniowanie rentgenowskie. Popularnie zwie się je prześwietleniem. Należy do nieinwazyjnych metod badań obrazowych.
Tomografia komputerowa (TK) należy do nowoczesnych technik diagnostycznych, pozwala bowiem na uwidocznienie narządów ludzkiego ciała. Jest to badanie skuteczne, powszechnie
Badanie USG (ultrasonografia) należy do popularnych metod obrazowania narządów wewnętrznych przy użyciu fal ultradźwiękowych. Do wykonania badania niezbędna jest specjalna
Rezonans magnetyczny (MRI z ang. magnetic resonance imaging) jest bardzo przydatny w dostarczaniu szczegółowych obrazów tkanek miękkich. Stanowi nieinwazyjną metodę