Złamane żebro
Złamane żebro to stosunkowo częsta kontuzja związana z bezpośrednim urazem klatki piersiowej, nieco rzadziej z kumulowaniem się mikrourazów (np. wskutek […]
Złamane żebro to stosunkowo częsta kontuzja związana z bezpośrednim urazem klatki piersiowej, nieco rzadziej z kumulowaniem się mikrourazów (np. wskutek […]
Wybity kciuk to potoczne sformułowanie używane do określania podwichnięcia lub zwichnięcia stawu śródręczno-paliczkowego bądź stawu międzypaliczkowego kciuka. To bardzo częsty
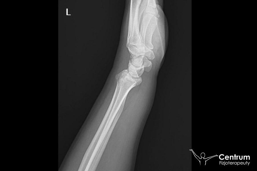
Złamanie Smitha dotyczy nasady dalszej kości promieniowej, czemu towarzyszy przemieszczenie kości ręki. W związku z rozległością urazu leczy się go
Warto wiedzieć, jakie są najczęstsze urazy w sporcie, aby móc im zapobiegać. Powszechnie mówi się, że sport to zdrowie –
Shin splints to dolegliwość spotykana zwłaszcza u sportowców. Określa ból w przedniej części goleni poniżej kolana lecz powyżej kostki. Innymi
Złamanie szyjki kości udowej jest częstą dolegliwością osób po 60 roku życia i należy ponadto do grupy najczęstszych złamań XXI
Zerwanie ścięgna mięśnia nadgrzebieniowego często towarzyszy uszkodzeniom stożka rotatorów, przy czym przyczyną tego stanu jest zwykle jednorazowy uraz. Dolegliwość wymaga
Zwichnięcie barku stanowi dość częstą kontuzję, zwłaszcza wśród sportowców i osób intensywnie trenujących. Duża ruchomość stawu ramiennego związana ze znacznym