Neuropatia nerwu biodrowo-pachwinowego
Neuropatia nerwu biodrowo-pachwinowego najczęściej dotyczy osób płci męskiej, przy czym konkretne przyczyny jej powstawania nie zostały do końca poznane. Schorzenie […]
Neuropatia nerwu biodrowo-pachwinowego najczęściej dotyczy osób płci męskiej, przy czym konkretne przyczyny jej powstawania nie zostały do końca poznane. Schorzenie […]
Wstrząs kardiogenny jest wciąż jedną z najgorzej rokujących patologii układu krążenia. Stanowi podstawową przyczynę zgonu chorych hospitalizowanych z powodu świeżego
Złamania typu Salter-Harris odnoszą się do złamań chrząstki wzrostowej kości długich u dzieci. Dziecięce złamania charakteryzują się specyficznym obrazem klinicznym,
Krwawienie z nosa jest zjawiskiem występującym zwłaszcza u dzieci. Szacuje się, że 64% osób ma przynajmniej jeden epizod krwawienia z
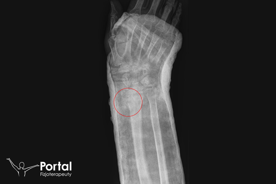
Złamanie Collesa stanowi najczęstszy typ złamania nasady dalszej kości promieniowej. Charakteryzuje się odchyleniem dalszego fragmentu tej kości do góry lub
Neuropatia nerwu piersiowego długiego (C5-C6-C7) jest częstym schorzeniem neurologicznym i to nie tylko w sporcie. Nerw ten odpowiada za unerwienie
Przeciążenie mięśni szyi i karku jest najczęstszą przyczyną dolegliwości w obrębie kręgosłupa szyjnego. Z wywiadu zazwyczaj wynika, że w ciągu
Choroba Hoffy (zamiennie zespół Hoffy Kasterta) dotyczy przerostu bądź obrzęku ciała tłuszczowego podrzepkowego. Po raz pierwszy zjawisko opisano w 1903
Nerwiak Mortona (inaczej: nerwoból Mortona czy metatarsalgia) jest neuropatią uciskową nerwów palców stopy. Chorobie towarzyszy włóknienie okołonerwowe. Nerwiak Mortona dotyczy
Bark pływaka (zespół bolesnego barku pływaka) wbrew pozorom nie dotyczy wyłącznie osób regularnie pływających, choć w dużej mierze ma to