MICA (ang. Minimally Invasive Chevron Akin) to małoinwazyjna metoda przezskórna wykorzystywana w leczeniu palucha koślawego (potocznie: haluksa). Nie jest zabiegiem wykonywanym przez początkujących lekarzy. Powszechnie uważa się ją za jedną z bardziej zaawansowanych i wymagających technik chirurgii przezskórnej.

MICA – na czym polega?
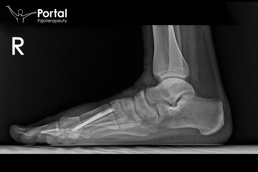
Metoda operacyjna MICA obejmuje wykonanie:
- pozastawowej osteotomii I kości śródstopia podgłowowo (chevron);
- osteotomii paliczka bliższego palucha (osteotomia Akina).
Po korekcji ustawienia kości całość stabilizuje się miniaturowymi śrubami lub szwem kostnym. Podczas zabiegu przeważnie wykonuje się 4 kilkumilimetrowe nacięcia skóry, zapewniające dostęp do kości palucha i stawu śródstopno-paliczkowego. Cięcia kostne wykonuje się specjalnym obrotowym borem pod kontrolą aparatu RTG. W porównaniu do zabiegów klasycznych nie narusza się stawów, cięcia wykonuje się poza nimi. Umożliwia to zachowanie ich pełnego zakresu ruchomości oraz minimalizuje dolegliwości bólowe i czas rekonwalescencji. Operację MICA wykonuje się w pełnym ukrwieniu kończyny. Nie ma zatem konieczności nakładania opaski pneumatycznej na udo celem zahamowania krwawienia podczas zabiegu. Czas trwania całej procedury chirurgicznej wynosi 30-60 minut.
Ustawienie kości w pozycji skorygowanej stabilizuje się 2 tytanowymi śrubami przeznaczonymi właśnie tej metodzie. Śruby umieszcza się w kości na przyśrodkowo-grzbietowej stronie stopy. Trójpunktowe oparcie śruby proksymalnej (korówka przyśrodkowa i boczna I kości śródstopia oraz jej odłam dalszy) gwarantuje bardzo dobrą stabilizację uzyskanej korekcji.

MICA – specyfika zabiegu
MICA to zabieg wykonywany przezskórnie, stanowiący pewną analogię do procedury chevron przeprowadzanej na otwarto. Różnica wynika jednak z użytego instrumentarium oraz metody stabilizacji korekcji. Zabieg MICA umożliwia korekcję trójpłaszczyznową, czego nie zaobserwuje się przy procedurze chevron (korekcja odbywa się tu jedynie w dwóch płaszczyznach). Ponadto w przebiegu MICA osteotomia jest wykonywana nie za pomocą piły, lecz z wykorzystaniem miniaturowego frezu. Wprowadza się go przez kilkumilimetrowy otwór od strony przyśrodkowej I kości śródstopia. Frez przecina kość, pozostając atraumatycznym dla okolicznych tkanek miękkich (ścięgien, więzadeł).
Największe zalety zabiegu haluksa metodą MICA to:
- mniejsza pooperacyjna sztywność stawu śródstopno-paliczkowego palucha dzięki mechanizmowi pozastawowemu;
- mała inwazyjność i uniknięcie dostępu całkiem otwartego;
- szybsza rekonwalescencja;
- spadek ryzyka nawrotu deformacji w przyszłości;
- stosunkowo krótki czas operacji;
- możliwość zachowania pełnej ruchomości stawów palucha (jeśli nie występuje konieczność jednoczesnego usunięcia tzw. wyrośli buniona).
Mimo tak licznych zalet niewielu ortopedów podejmuje się zabiegu metodą MICA. Jest bowiem dość skomplikowana i wymaga umiejętności oraz wprawnej ręki. Decydują się na to głównie doświadczeni specjaliści. Wyniki badań potwierdzają, że technika przezskórna MICA pozwala uzyskać zadowalający stopień korekcji palucha koślawego, dając rezultaty tak samo dobre (a niekiedy nawet lepsze), jak metody przeprowadzane na otwarto. Równocześnie obserwuje się jednak minimalizowanie stopnia urazowości tkanek miękkich.
MICA – wskazania
Zabieg metodą MICA pozwala skutecznie skorygować stopień łagodny, umiarkowany oraz w znacznej części przypadków stopień zaawansowany deformacji palucha koślawego. Wskazaniami do operacji są głównie:
- ból palucha w miejscu deformacji;
- deformacje znacznego stopnia uniemożliwiające komfortowe zakładanie i noszenie obuwia oraz aktywność fizyczną.
Procedurami umożliwiającymi korekcję haluksa w podobnym zakresie są także dystalna osteotomia chevron oraz osteotomia Scarf. Odpowiednia metoda leczenia zawsze jest dobierana indywidualnie przez lekarza ortopedę po przeprowadzeniu z pacjentem szczegółowego wywiadu oraz po wnikliwej analizie badań RTG.
Rehabilitacja po operacji MICA
Pierwsze delikatne ruchy paluchem można wykonywać po 14 dniach od operacji, jednak nie mogą one przekraczać granicy tolerancji pacjenta. Rehabilitacja jest dość złożona i obejmuje m.in. mobilizację trzeszczek, mobilizację stawu śródstopno-paliczkowego palucha, mobilizacje tkanek miękkich oraz reedukację chodu, którą rozpoczyna się jako pierwszą. Wraz z postępami pacjenta terapię rozszerza się o ćwiczenia stabilnościowe i poprawiające propriocepcję kończyny dolnej. Nie ma określonych ram czasowych dla poszczególnych metod (dobiera się je indywidualnie po zbadaniu pacjenta). Każdy ma inne tempo gojenia się ran i ogólnej rekonwalescencji.
Polecane produkty:
Bibliografia
- Toepfer A., Strässle M., 3rd generation MICA with the “K-wires-first technique” – a step-by-step instruction and preliminary results, BMC Musculoskeletal Disorders, 23/2022.
- Redfern D., Vernois J., Minimally Invasive Chevron Akin (MICA) for Correction of Hallux Valgus. Techniques in Foot & Ankle Surgery, 15/2016.
- Metoda MICA/MIC, Michał Kniaź, Centrum Chirurgii Stopy [https://michalkniaz.pl/mica].
Last Updated on 30 maja 2024 by Kamil Maka