Osteotomia SCARF to jedna z chirurgicznych metod leczenia palucha koślawego, czyli tzw. haluksa. Wymaga wykonania podłużnego nacięcia skóry wzdłuż przyśrodkowej powierzchni przodostopia. Jest operacją stabilną, umożliwiającą korekcję trójpłaszczyznową zarówno łagodnych, jak i tych bardziej zaawansowanych deformacji.

Osteotomia SCARF – na czym polega?
Na samym początku należy zaznaczyć, że nie ma jednej uniwersalnej techniki operacyjnej stosowanej w leczeniu palucha koślawego. Wynika to ze złożoności i dynamicznego charakteru schorzenia. Metodę operacyjną zawsze dobiera się indywidualnie do pacjenta, biorąc pod uwagę jego ogólny stan zdrowia, postawę ciała, zaawansowanie wady, występujące choroby, a nawet wiek, masę ciała i poziom codziennej aktywności. Bardzo często wybór pada jednak na osteotomię SCARF.
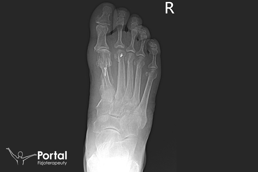
Osteotomia SCARF to operacja wykonywana w znieczuleniu przewodowym, czyli takim, w którym pacjent przestaje czuć swoje ciało od pasa w dół. Pozostaje jednak świadomy. Trwa około 30-60 minut. Celem zabiegu jest wykonanie podłużnego cięcia skóry wzdłuż przyśrodkowej powierzchni przodostopia, dzięki czemu chirurg zyskuje bardzo dobre pole widoczności. Cięcie przebiega dokładnie w płaszczyźnie horyzontalnej I kości śródstopia, po czym wykonuje się przesunięcie względem siebie uzyskanych w ten sposób „belek kostnych”. Po ustaleniu docelowej korekcji zniekształcenia dokonuje się zespolenia dwiema śrubami. Osteotomię poprzedza boczne uwolnienie stawu śródstopno-paliczkowego I oraz trzeszczek. Na zakończenie operacji nierzadko wymagana jest osteotomia Akina paliczka bliższego palucha uzupełniająca ostatecznie korekcję koślawości.
Ciekawostka
Chirurg i pacjent muszą mieć świadomość, że stopa jest strukturą dynamiczną i zmienia się w ciągu życia człowieka. W dzieciństwie na jej kształt wpływa głównie wzrost ciała, który może zniwelować wynik leczenia. U osób dorosłych narastająca wraz z wiekiem masa ciała oraz zmiany hormonalne, zwłaszcza u kobiet w okresie menopauzy, sprawiają, że stopy zmieniają swój kształt, stają się szersze i nieco bardziej rozpłaszczone. Dynamiczne zmiany obserwuje się ponadto w niektórych chorobach układowych, np. RZS, cukrzycy, chorobach neurologicznych z niedowładami wiotkimi i spastycznymi. Co się z tym wiąże, operację należy wykonać wówczas, gdy zniekształcenie stopy jest stabilne.
Osteotomia SCARF – wskazania
Osteotomia SCARF cieszy się rosnącą popularnością ze względu na trwałość efektów oraz uniwersalność zastosowania. Umożliwia skuteczne leczenie deformacji w różnym stopniu zaawansowania – od łagodnego, poprzez umiarkowany, aż do zaawansowanego. Wskazaniem jest więc paluch koślawy w dowolnym stopniu zaawansowania.
Osteotomia SCARF – efekty
Osteotomia SCARF pozwala wykonać trójpłaszczyznową korekcję:
- obniżenie (plantaryzację) lub rzadziej podwyższenie (elewację) I kości śródstopia;
- skrócenie lub rzadziej wydłużenie I kości śródstopia;
- derotację z korekcją kąta nachylenia dystalnej powierzchni stawowej.
W przypadku niewystarczającej stabilności w płaszczyźnie strzałkowej konieczność użycia śruby można zniwelować poprzez założenie szwu kostnego. Efektem jest przywrócenie stopie estetyki i biomechaniki poprzez usunięcie deformacji nazywanej haluksem. Główne zalety metody to: znaczna stabilność zespolenia, możliwość trójpłaszczyznowej korekcji ustawienia I kości śródstopia i szybki powrót pacjentów do pełnego obciążania przodostopia.
Rehabilitacja po osteotomii SCARF
Osteotomia SCARF wymaga wykonania znacznego, podłużnego nacięcia skóry wzdłuż przyśrodkowej powierzchni przodostopia, dzięki któremu chirurg ortopeda może w pełni kontrolować przebieg zabiegu i wykonać precyzyjne cięcie kości. Rana zamykana jest szwami, które zdejmowane są po około 14 dniach. Pierwszym elementem intensywnej rehabilitacji jest odpowiednie mobilizowanie tworzącej się blizny zaraz po zdjęciu szwów. Uchroni to pacjenta przed utworzeniem się bolesnych zrostów, które mogą zaburzać biomechanikę stóp, a nawet upośledzać chodzenie.
W tym samym czasie fizjoterapeuta wdraża stopniowo inne techniki, takie jak metoda PNF, ćwiczenia izometryczne i ćwiczenia stabilizujące, suche igłowanie, kinesiotaping czy terapia manualna (np. metodą Kaltenborn-Evjenth), dzięki której przywróci właściwą ruchomość wszystkich stawów stopy. Celem fizjoterapii jest także reedukacja chodu i wzmocnienie mięśni kończyn dolnych.
Polecane produkty:
Bibliografia
- Prusinowska A., Maciejewski W., Turski P., Cichocki T., Małdyk P., Księżopolska-Orłowska K. Paluch koślawy w stopie reumatycznej – leczenie operacyjne i rehabilitacja, Reumatologia, 2/2011.
- Liszka H., Panikowski R., Gądek A., Osteotomia typu scarf oraz Akin w leczeniu deformacji koślawej palucha – czy stabilizacja implantami jest konieczna?, Przegląd Lekarski, 76/2019.
- Ciechanowicz D., Kozłowski J., Kołodziej Ł., Kromuszczyńska J., Powrót do aktywności fizycznej pacjentów leczonych z powodu palucha koślawego osteotomią Scarf, Ortopedia Traumatologia Rehabilitacja, 22/2020.
Last Updated on 30 maja 2024 by Kamil Maka