Łokieć golfisty
Łokieć golfisty to potoczna nazwa dla zapalenia nadkłykcia przyśrodkowego kości ramiennej (łac. epicondylitis medialis humeri). Jest stanem, który powoduje ból […]
Łokieć golfisty to potoczna nazwa dla zapalenia nadkłykcia przyśrodkowego kości ramiennej (łac. epicondylitis medialis humeri). Jest stanem, który powoduje ból […]
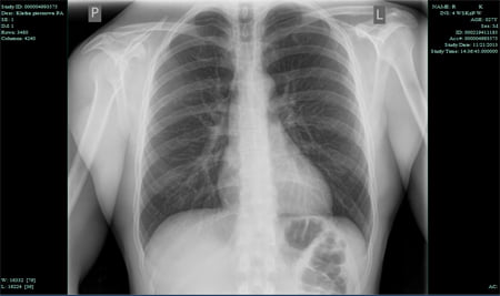
RTG klatki piersiowej jest najczęściej wykonywanym badaniem radiologicznym, które wyświetla czarno-biały obraz płuc, serca, żeber, kręgosłupa oraz naczyń krwionośnych.
Zapalenie rozcięgna podeszwowego (nazwa potoczna „ostroga piętowa” ze względu na towarzyszące schorzeniu wyrośla kostne przy kości piętowej) jest stanem zapalnym
Rumień cieplny to miejscowa odpowiedź organizmu na naświetlanie promieniami podczerwonymi. Polega na rozszerzeniu naczyń krwionośnych skóry, powodując w efekcie jej
Poszczególne typy chodu opisują wygląd i sposób poruszania się danej osoby, w efekcie często wskazują na toczącą się w organizmie
Masaż gorącymi kamieniami można zaliczyć zarówno do metod relaksacyjnych, jak i leczniczych. Do wykonania tego zabiegu niezbędna jest znajomość podstaw
Kość (łac. os) jest rodzajem tkanki łącznej i stanowi tkankę podporową. Z kości zbudowany jest szkielet organizmu (układ kostny). Składa
Test Laseque’a (uwalniania, opuszczania) – różnicowanie bólów lędźwiowych. Pozycja wyjściowa (pw) Pacjent leży na plecach. Kolce biodrowe tylne górne przylegają
Przeciwwskazania do stosowania Kinesiology Tapingu nie są obszerne, ponieważ metoda należy do bezpiecznych i nieinwazyjnych. Można ją stosować zarówno u
Wskazania do kinesiology Tapingu są bardzo obszerne, ponieważ obejmują praktycznie większość schorzeń z różnych dziedzin medycyny. Metoda ta jest bezpieczna,